Allgemeines
Cholelithiasis bedeutet Gallensteine in der Gallenblase und/oder in den Gallenwegen. Gallensteine in der Gallenblase (Cholezystolithiasis) sind häufig symptomlos und verursachen kein „Leiden“. Nur etwa 20 % der Betroffenen bekommen in ihrem Leben Beschwerden. Gallensteine in den ableitenden Gallenwegen (Choledocholithiasis) dagegen verursachen häufig heftige kolikartige Beschwerden. Durch einen Verschluss des Gallengangs können ein Gallestau (Cholestase) und eine Gelbsucht (Verschlussikterus) entstehen.
Symptomlose Gallensteine
Wenn Gallensteine zufällig entdeckt werden (beispielsweise durch eine Ultraschalluntersuchung der Leber und der Gallenwege) ist ein Watch-and-Wait-Ansatz möglich, bei dem die aktive Behandlung erst beginnt, wenn Symptome auftreten. Die Cholezystektomie wird derzeit normalerweise nur für Patienten mit symptomatischen Gallensteinen empfohlen. Wenn in der nahen Verwandtschaft eine Krebsprädisposition besteht, ist individuell eine Gallenblasenentfernung (Cholezystektomie) zu diskutieren. 1
Symptomatische Gallensteine
Die Palette der Symptome kann leichte und unspezifische Beschwerden (gelegentliches Pieken bis Druck unter dem rechten Rippenbogen nach fettreicher Mahlzeit) bis starke und kolikartige Beschwerden und Gelbsucht und Stuhlentfärbung beinhalten. Als Komplikation können vor allem eine akute Cholezystitis (Gallenblasenentzündung) sowie eine akute „biliäre“ Pankreatitis (Bauchspeicheldrüsenentzündung) auftreten. Für die Behandlung stehen eine Reihe endoskopischer, radiologisch interventioneller und operativer Verfahren zur Verfügung. Individuell wird festgelegt, welche der Optionen zu welchem Zeitpunkt (sofort oder zeitlich versetzt nach Abklingen der akuten Phase) zur Anwendung kommt. 2 3
Formen
Cholezystolithiasis – Konkremente in der Gallenblase
Hepatolithiasis – Konkremente in intrahepatischen Gallenwegen
Choledocholithiasis – Konkremente im Ductus hepatocholedochus (Hauptausführgang)
Mikrolithiasis
Der Begriff Mikrolithiasis besagt, dass die Gallensteine winzig sind. Solche Steinchen sind meist durch bildgebende Verfahren schwer nachweisbar. Mit einem Durchmesser von ≤ 3 mm können sie spontan und symptomlos abgehen, aber in einigen Fällen auch eine Gallenkolik, wiederkehrende Oberbauchbeschwerden mit Übelkeit und Brechreiz, eine schwere Cholangitis (Entzündung der Gallenwege) und eine Pankreatitis (Entzündung der Bauchspeicheldrüse) verursachen 4.
Zusammensetzung
Helle Steine: Bei den meist vorliegenden hellen Steinen ist Cholesterin der Hauptbestandteil (röntgennegative Konkremente),

Schwarze Steine: Sie enthalten Bilirubinat (Abbauprodukt von Hämoglobin, entstehen bei Hämolyse). Relativ häufig liegt ein Gemisch aus Cholesterin und Bilirubinat vor (braune Pigmentsteine).
Braune bröckelige Steine: Sie finden sich in der Regel in den Gallenwegen und nicht in der Gallenblase und enthalten im Kern meist Bakterien und bakterielle Glykoproteine.
Weitere Bestandteile von Gallensteinen sind Kalzium, Phosphat, Karbonat, Protein. Kalziumhaltige Steine sind röntgenpositiv.
Häufigkeit
Etwa 20 % der Erwachsenen entwickeln in ihrem Leben Gallensteine; etwa 20 % von ihnen werden symptomatisch. Etwa 7 bis 10 % der Bevölkerung Deutschlands sind Gallensteinträger. In Europa sind es bei Frauen zwischen 30 und 70 Jahren 20 %, bei Männern 10 %. 5 In Australien wurde ein Lebenszeitrisiko von 14-20% festgestellt. 6
Die meisten Gallensteine bleiben während der Lebenszeit ihres Trägers symptomlos, tragen aber dennoch zu einem erhöhten Risiko für Gallenblasenkrebs bei. 7
Bei 0,5 – 1,5 % der Patienten, bei denen eine Cholecystektomie wegen Gallensteinen erfolgte, wurde Gallenblasenkrebs gefunden. 8
Entstehung heller Steine
Helle Gallensteine entstehen, wenn die Galle an Cholesterin übersättigt ist. Dies ist der Fall, wenn entweder zu viel Cholesterin oder zu wenig Lösungsvermittler des Cholesterins, insbesondere Gallensäuren, in die Galle ausgeschieden werden. Ort der Steinentstehung ist die Gallenblase, da dort Zeit zur Auskristallisation besteht (die Gallenblase ist ein Reservoir von Galle), und da sich im Gallenblasenmukus (Schleim der Schleimhaut) Faktoren finden, die den Vorgang der Auskristallisation fördern. Zuerst entstehen Mikrokristalle, aus denen im Laufe der Zeit größere Konkremente werden. Mikrokristalle wachsen zu „Mikrolithen“, die eine besondere Bedeutung für die Entstehung von Komplikationen, wie der biliären Pankreatitis, haben. Auch sind sie für Koliken und möglicherweise auch für sonst ungeklärte biliäre Beschwerden verantwortlich (siehe unter Mikrolithiasis).
Die Steinbildung ist zeitabhängig. Dadurch wird erklärlich, dass Steine in der Gallenblase entstehen (deren Funktion die Speicherung von Galle ist), insbesondere wenn sie hypomotil ist; d. h. sich nur schwach auf Kontraktionsreize zusammenzieht, wie bei der intestinalen Polyneuropathie des Diabetes mellitus.
Genetik
Eine Cholesterinübersättigung der Galle kommt zustande, wenn zu wenig Phospholipide oder zu viel Cholesterin ausgeschieden werden. Beide Typen haben genetische Grundlagen. Die Stoffwechselwege der Leber zur Bildung einer ausgeglichenen Zusammensetzung der Galle, die über die Die Kernrezeptoren FXR und Leber-X-Rezeptor (LXR), die als Gallensäuresensoren fungieren, gesteuert werden, können an verschiedenen Stellen aus genetischen und epigenetischen Gründen aus dem Gleichgewicht geraten. 9 Auch die Aktivität der Gallensäure- und der Cholesterinresorption im Darm ist genetisch und epigenetisch reguliert und kann so verändert sein, dass letzlich eine erhöhte Lithogenität der Galle entsteht. 10
Weitere fördernde Faktoren
Für Cholesterinsteine bestehen folgende Risikofaktoren: zunehmendes Alter, Adipositas, Fibrate, Mangel an Gallensäuren (genetisch bedingt), Gallensäureverlust durch Erkrankung oder Resektion des terminalen Ileums (z. B. bei Morbus Crohn 11), ein Gallestau, parenterale Ernährung 12, Hyperinsulinismus, Hypothyreose 13, Leberzirrhose 14, Fettstoffwechselstörung (erhöhte Triglyceride 15), Gewichtsabnahme, Schwangerschaft, Typ-2-Diabetes (über Hypokinesie der Gallenblase 16 und Adipositas), diätetische Faktoren (z. B. wenig Balaststoffe, viel Fruktose, hoher Fettanteil) 10.
Für schwarze Steine (Bilirubinatsteine) bestehen folgende Risikofaktoren: hämolytische Krankheiten (z. B. Autoimmunhämolyse, Herzklappenersatz).
Für braune Steine bestehen folgende Risikofaktoren: häufige aufsteigende Gallenwegsinfektionen, z. B. nach Papillotomie).
Schützende Faktoren
Für folgende Faktoren wurde eine protektive Wirkung bezüglich einer Gallensteinbildung gefunden:
Bewegung, Fischöl, ungesättigte Fette, Nüsse, Kaffee, Alkohol, Zwiebeln und Knoblauch, Vitamin C. 17
Studien: Eine Ernährung, die reich an Obst, Gemüse, Hülsenfrüchten und Olivenöl ist, war in einer französischen Studie mit einer Verringerung des Cholezystektomie-Risikos verbunden. 18 In einer anderen Studie war eine vegetarische Ernährung im Vergleich zu einer nicht-vegetarischen Ernährung bei Frauen (nicht jedoch bei Männern!) mit einem verringerten Risiko einem symptomatischen Gallensteinleiden verbunden. 19 Eine Vitamin-C-Supplementierung senkt das Gallensteinrisiko (Prävalenz in einer Studie mit Supplementierung 4,7 %, ohne 8,2 %). 20
Beschwerden, Symptome
Diagnoseweisend sind Koliken, d. h. heftigste krampfartige Schmerzen überwiegend im rechten Oberbauch und im mittleren Epigastrium. Ihre Dauer beträgt meist unter 15 bis 20 Minuten.
Vieldeutig, aber mit dem Gallensteinleiden assoziiert, sind rezidivierend auftretende Oberbauchbeschwerden mit Übelkeit und Brechreiz, oft auch dabei Erbrechen. Sie können bei Nachweis von Gallensteinen eine Indikation für eine Cholezystektomie darstellen.
Vieldeutig, aber nicht mit dem Gallensteinleiden assoziiert sind Druckgefühle im Oberbauch sowie dyspeptische Beschwerden, Sodbrennen und Fettintoleranz. Diese Symptome werden jedoch bei Kenntnis von Gallensteinen gerne (aber fälschlicherweise) auf sie bezogen. Sie verschwinden in der Regel jedoch nicht durch eine Cholezystektomie.
Diagnostik
Sonographie


Die Sonographie hat eine Sensitivität von 95 % in Bezug auf Gallensteine in der Gallenblase (heller Reflex mit distaler Schallauslöschung bei Steinen ab 5 mm Größe), bei Choledocholithiasis (Steinen im Galleausführgang) sind die Steine erst dann gut sichtbar, wenn sie größer sind und/oder wenn ein Gallestau besteht.
→ Zur Sonographie der Leber siehe hier.
Endosonographie
Sie ist hilfreich zur Erkennung einer Mikrolithiasis und Diagnostik der präampullären Region des Sphincter Oddi und kann in Fällen einer schwierigen Indikationsstellung für eine ERC zur Klärung beitragen. Die Endosonographie ist in vielen Fällen die einzige Methode, um kleine Konkremente nachzuweisen und vermag in hohem Prozentsatz idiopathische Pankreatitiden als biliär bedingt zu klassifizieren. Ihre Sensitivität von etwa 95% übersteigt die der MRT und der CT. 21 22
→ Zur Endosonographie siehe hier.
Röntgenuntersuchung
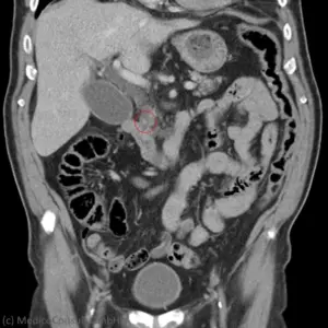
Röntgenologisch stehen eine orale oder intravenöse Cholezystographie, eine Computertomographie (CT) und eine MRCP zur Verfügung. Sie kommen vor einer laparoskopischen Cholezystektomie in Frage, wenn eine Steinbesiedlung der Gallenwege ausgeschlossen werden soll. Am sensitivsten sind das Kontrastmittel-CT und das MRT. Die Sensitivitäten erreichen jedoch nicht die einer Endosonographie. 21

→ Zur Computertomographie (CT) der Leber siehe hier.
ERC
Eine endoskopisch-retrograde Cholangiographie (ERC) ist der Goldstandard zum Steinnachweis; gleichzeitig stellt sie eine Möglichkeit zur nicht-operativen Steinentfernung aus den ableitenden Gallenwegen dar.
Als Indikationen für eine ERC mit therapeutischer Intention gelten die akute Cholangitis, ein Verschlussikterus, eine Gallensteinpankreatitis (biliäre Pankreatitis, sie tritt innerhalb der ersten 24 Stunden nach einer Gallenkolik auf), ein erweiterter Gallengang (> 8 mm) mit Verdacht auf Abflussstörung durch ein Konkrement 23
Wegen der mit einer ERC assoziierten erhöhten Kompliationsrate wird vor einer Durchführen i. d. R. eine endosonographische oder radiologische (MRCP) Voruntersuchung durchgeführt. 24
MRCP
Die Magnetresonanzcholangiopancreaticographie (MRCP) kann Steine ab einer Größe von 3 mm relativ sicher nachweisen. Konkremente unterhalb dieser Größe sind nicht sicher erkennbar. Wenn die Symptomatik bereits stark auf eine Choledocholithiasis hindeutet, kann auf die MRCP verzichtet werden, da selbst bei negativem Befund eine ERC (endoskopische retrograde Cholangiographie) mit der Möglichkeit einer Papillotomie mit Steinextraktion diskutiert werden muss. Ansonsten wird die MRCP der ERCP vorgeschaltet, um eine unnötige ERC mit ihren Risiken ggf. zu vermeiden
Komplikationen
Gallensteine können symptomlos verbleiben oder Schmerzen (Koliken) und Komplikationen verursachen:
- obstruktive Cholestase durch Steinverschluss,
- Gallenblasenperforation gedeckt oder offen mit biliärer Peritonitis,
- Cholezystitis, Cholangitis,
- Mirizzi-Syndrom: Einklemmung eines Gallensteins im Ductus cysticus mit Druck auf den D. hepaticus und dadurch bedingter obstruktiver Cholestase (dazu siehe hier),
- Gallensteinpenetration ins Duodenum,
- Bouveret-Syndrom (Gallensteinverschluss des Pylorus bei seinem Durchtritt ins Duodenum),
- Gallenblasenkarzinom bei lange bestehenden zahlreichen oder großen Gallensteinen (dazu siehe hier),
- akute biliäre Pankreatitis.
Therapie
Die Behandlung der Cholelithiasis ist abhängig von der Lokalisation der Gallensteine, der Akuität und Heftigkeit der Beschwerden, den Komplikationen und den eingetretenen Folgekrankheiten. In Betracht gezogen werden folgende Maßnahmen:
- Cholezystektomie (operative Gallenblasenentfernung).
- ERCP mit Papillotomie und Steinextraktion bei Choledocholithiasis (endoskopische Steinentfernung im Gallengang). Bei einer Steinentfernung bei symptomatischen und asymptomatischen Patienten unterschieden sich in einer Studie die Komplikationsraten nicht; die Erfolgsraten lagen bei 97 bis 100 %. 25 26
- UDCA (Ursodesoxycholsäure) zur Behandlung einer Mikrolithiasis (kleinste Gallensteinchen) und zur Steinprophylaxe.
- Schmerztherapie bei einer Gallenkolik.
→ Zur Therapie des Gallensteinleidens siehe hier.
→ Therapie einer biliären Pankreatitis
→ Auf facebook informieren wir Sie über Neues und Interessantes!
→ Verwalten Sie Ihre Laborwerte mit der Labor-App Blutwerte PRO – mit Lexikonfunktion.
Verweise
- Cholelithiasis-Therapie
- Mikrolithiasis
- Gallenkolik
- Gallensteinleiden – kompakt
- Die Galle – Zusammensetzung, Funktion
- Cholecystitis
- Gallenblasenkarzinom
- Biliäre Pankreatitis
- Oberbauchbeschwerden
Weiteres
- J Surg Oncol. 2006 Jun 15;93(8):629-32. doi: 10.1002/jso.20529[↩]
- Gallstone Disease: Diagnosis and Management of Cholelithiasis, Cholecystitis and Choledocholithiasis. London: National Institute for Health and Care Excellence (NICE); 2014 Oct. PMID: 25473723.[↩]
- Minerva Gastroenterol Dietol. 2016 Mar;62(1):103-29[↩]
- Dig Dis Sci. 2023 Nov;68(11):4252-4258[↩]
- Nat Rev Dis Primers. 2016 Apr 28;2:16024. DOI: 10.1038/nrdp.2016.24[↩]
- Med J Aust. 1998 Aug 3;169(3):166-71. doi: 10.5694/j.1326-5377.1998.tb116020.x. [↩]
- Hepatobiliary Surg Nutr. 2014 Oct;3(5):221-6. doi: 10.3978/j.issn.2304-3881.2014.09.03[↩]
- Hepatobiliary Surg Nutr. 2014 Oct;3(5):221-6. DOI: 10.3978/j.issn.2304-3881.2014.09.03[↩]
- J Intern Med 2010; 268:279–285.[↩]
- Curr Opin Gastroenterol. 2018 Mar;34(2):71-80. DOI: 10.1097/MOG.0000000000000423[↩][↩]
- Gastroenterology 1999; 116: 1420-1427[↩]
- Aliment Pharmacol Ther 2000 May;14 Suppl 2:54-7[↩]
- Hepatogastroenterology 2000 Jul-Aug;47(34):919-21[↩]
- Dig Dis Sci; 45; 6; 1109-14; 2000[↩]
- GUT 2003; 52: 109-115[↩]
- Am J Physiol. 1999; 39: G1401-1407[↩]
- Altern Med Rev. 2009 Sep;14(3):258-67.[↩]
- Am J Gastroenterol. 2017 Sep;112(9):1448-1456. doi: 10.1038/ajg.2017.216.[↩]
- Nutrients. 2019 Feb 4;11(2):335. DOI: 10.3390/nu11020335.[↩]
- BMC Gastroenterol. 2009 Oct 8;9:74. doi: 10.1186/1471-230X-9-74[↩]
- Cochrane Database Syst Rev. 2015;2015:Cd011549[↩][↩]
- Scand J Gastroenterol. 2018 Oct-Nov;53(10-11):1381-1387. doi: 10.1080/00365521.2018.1524021[↩]
- Dig Surg 17; 3; 229-33; 2000[↩]
- BMC Gastroenterol. 2022 Mar 3;22(1):94. doi: 10.1186/s12876-022-02162-8. [↩]
- Dig Dis Sci. 2016 Apr;61(4):1172-7. doi: 10.1007/s10620-015-3965-5[↩]
- Tokai J Exp Clin Med. 2022 Sep 20;47(3):143-148. PMID: 36073287[↩]