„Leberzirrhose in Bildern“ vermittelt ausgeprägte Befunde in Spätstadien der Erkrankung.
Klinische Zeichen
Sklerenikterus

Gelbe Skleren (Sklerenikterus, Sklera: Augenweiß) sind ein vieldeutiges klinisches Zeichen. Eine kompensierte Leberzirrhose ist nicht gelb. Erst bei einer Dekompensation kommt eine Gelbsucht zustande, zuerst als Sklerenikterus. Eine sich entwickelnde Gelbsucht lässt sich an den Skleren eher erkennen als an der Haut. Die Gelbsucht (Ikterus) ist auf eine mangelhafte Ausscheidung der in der Leber produzierten Galle zurückzuführen, sodass sich der Gallefarbstoff Bilirubin ins Blut zurückstaut. Ab einer Bilirubinkonzentration im Blut von ca. 2,5 – 3 mg/dl beginnt die Gelbverfärbung an der Skleren erkennbar zu werden, an der Haut ab 4 – 5 mg/dl.
→ Ikterus
→ Symptome bei Leberkrankheiten
Lipidflecken an den Augenlidern

Lipidflecken (Xanthelasmen) an den Augenlidern gehören zu den Zeichen einer Fettstoffwechselstörung. Sie kommen auch bei Leberkrankheiten, insbesondere bei der primär biliären Cholangitis vor, hier im Endstadium einer PBC-bedingten Leberzirrhose bereits zusammen mit einer Gelbsucht.
Brauner Pigmentring an den Augen

Ein brauner Pigmentring am Außenrand der Iris der Augen weist auf eine Kupferspeicherkrankheit hin, den Morbus Wilson. Er wird häufig erst im Stadium einer Leberzirrhose diagnostiziert.
Weißnägel

Die weißliche Verfärbung der Nägel (Hand rechts) zählt zu den Leberhautzeichen bei Lebererkrankungen. Typischerweise ist die Lunula des Nagels nicht mehr abgrenzbar. Links zum Vergleich normale Fingernägel.
Palmarerythem

Rötung der Handinnenfläche: sie gehört zu den typischen Leberhautzeichen bei Leberzirrhose.
Spidernävus

Sternförmige erweiterte Blutgefäße (Teleangiektasien) an der rechten Schulter mit zentraler zuführender Arteriole. Wenn man auf das Zentralgefäß drückt, entleeren sich die spinnenartigen Ausläufer. Löst man den Druck wieder, füllen sie sich von der Mitte her erneut. Spidernävi (Gefäßspinnen) zählen zu den typischen Leberhautzeichen bei einer Leberzirrhose.
Gynäkomastie

Vergrößerung der Brustdrüsen beim Mann als Zeichen einer verstärkten Östrogenwirkung. Sie ist bei einer dekompensierten Leberzirrhose (mit mangelhaftem Östrogenabbau) relativ häufig zu finden, kann aber auch andere, endokrine Ursachen haben.
In diesem Fall (Bild) sprechen einzelne Gefäßspinnen (Spidernaevi) am oberen Thorax und der klinisch diagnostizierbare (inzwischen in Ausschwemmung begriffene und damit nun nicht mehr pralle) Aszites mit Nabelbruch für eine Leberzirrhose als Ursache.
Aszites

Eine Wasseransammlung im Bauchraum wird als Aszites bezeichnet. Bei portaler Hypertension (erhöhter Druck in der Pfortader) entwickeln sich neben Aszites auch venöse Umgehungskreisläufe, um die Widerstandserhöhung durch die vernarbte Leber zu umgehen. Klinisch imponiert ein Kollateralkreislauf auf Bauchhaut als sog. Caput medusae (Medusenhaupt) oder als sichtbar gefüllte seitliche Bauchwandvenen (siehe Abbildung). Wegen der Bauchwanddehnung bei massivem Aszites bildet sich häufig wie hier ein Nabelbruch.
→ Aszites

Aszites (Umfangszunahme des Bauchs und Undulation bei der klinischen Untersuchung) und dunkle Mamillen führen zum Verdacht auf eine Leberzirrhose bei Hämochromatose. Die Behaarung fehlt, es liegt eine „Bauchglatze“ vor. Die Anamnese ergab einen vermehrten Alkoholkonsum.
→ Hämochromatose – verständlich erklärt
→ Alkoholkonsum
Sonographie
Die Ultraschalluntersuchung (Sonographie) der Leber und des Pfortadersystems ist in vielen Fällen diagnoseweisend. Insbesondere lässt sich eine Leberzirrhose, die bereits zu einem Pfortaderhochdruck (portale Hypertension) und Bauchwasser (Aszites) geführt hat, relativ sicher ohne weitere eingreifende Untersuchungen diagnostizieren.
Zirrhotische Leber mit Aszites

Schallkopf auf dem Oberbauch links paramedian. Erkennbar ist die im Aszites (reflexfrei, schwarz) schwimmende zirrhotische Leber. Typisch sind eine feinhöckrige Oberfläche mit hellen Reflexen, ein prominenter Lobus caudatus und eine grobkörnige Binnenstruktur wegen der kleinen und größeren Regeneratknoten und den Narbensträngen. Der Unterrand ist meist abgerundet.
→ Aszites
Wiedereröffnete Nabelvene

Wiedereröffnete Nabelvene eingefärbt (Sonographie)Bei einem hohen Gefäßwiderstand durch die verhärtete Leber und dadurch bedingten Pfortaderhochdruck (portale Hypertension) sucht sich das Blut Umgehungskreisläufe um die Leber herum. Sie weiten sich unter der Druckbelastung auf. Eine wiedereröffnete Nabelvene leitet das Blut aus der Pfortader über Bauchhautvenen ab. Dadurch kommt es zur Senkung des Pfortaderhochdrucks.
→ Leberzirrhose
→ Portale Hypertension

Wiedereröffnete Nabelvene bei Leberzirrhose mit portaler Hypertension im duplexsonographischen Bild: rote Markierung bedeutet Blutfluss auf den Schallkopf (auf die Bauchhaut) zu, blaue von ihm weg.
Krebs in zirrhotischer Leber


Leberkrebs mit Blutversorgung (Duplexsonograpihie)


Hepatozelluläres Karzinom: arterielle Zufuhr (Duplexsonographie)Hepatozelluläres Karzinom mit venösem Blutabstrom (Duplexsonographie)Jede Leberzirrhose bedeutet ein erhöhtes Risiko für Leberkrebs (HCC: hepatozelluläres Karzinom). Nicht jeder Tumor ist so gut vom umgebenden zirrhotischen Lebergewebe zuunterscheiden wie auf diesen Bildern.
Die Untersuchung wurde vor einer geplanten TACE (transarterial chemoembolization) durchgeführt: großer Rundherd mit dunklerem Rand. Die zuführenden Arterien (rot) verlaufen außen um den Tumor herum und geben Äste nach innen ab. In einer Doppleraufzeichnung lässt sich die arterielle Pulsation nachweisen. Auf einem weiteren Bild ist der venöse Abstrom in der außen um den Tumor liegenden Sammelvene (blau) getroffen. 1
Die Leber ist durch die Vernarbung höckrig verformt.
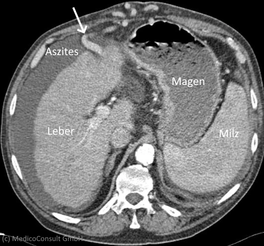
Computertomographie


Computertomographisch lassen sich eine fortgeschrittene Leberzirrhose und ein Pfortaderhochdruck (portale Hypertension) meist gut erkennen. Die Computertomographie (CT) dient vor allem der Suche nach Komplikationen, so der Suche nach Leberkrebs (hepatozelluläres Karzinom, HCC). Denn jede Leberzirrhose bedeutet ein deutlich erhöhtes HCC-Risiko. In diesen CT-Schnitten wird eine vergrößerte Leber mit Zirrhose dargestellt, die zu einer portalen Hypertension mit gestauter Milzvene (2 Sternchen) und einer Milzvergrößerung (Splenomegalie) geführt hat (Abb1: Milz *, Milzvene **, Bauchspeicheldrüse ***, Abb2: Leber X, Milz XX).
Laparoskopie / Minilaparoskopie
Die Bauchspiegelung (Laparoskopie / Minilaparoskopie) ermöglicht es, die Oberfläche der Leber sehr detailliert zu beurteilen und die Festigkeit des Organs durch Betastung mit einer Sonde zu prüfen.

Die Oberfläche der Leber ist feinhöckrig verändert; das Parenchym sieht hochgradig entzündet aus. Hier liegt eine aktive chronische Hepatitis vor.

Aspekt eine Leberzirrhose bei Hämochromatose. Fein- bis mittelknotige Oberfläche mit vielen Lymphzystchen.

Laparoskopisches Bild einer Fettleberhepatitis mit ausgeprägter Fibrose, Übergang in eine Fettzirrhose: gelblich, derb, feinhöckrige Oberfläche

Gestaute Bauchdeckenvenen bei Pfortaderhochdruck (Laparoskopie)
Wiedereröffnete Nabelvene bei Leberzirrhose (Laparoskopie)Die Leberzirrhose hat hier zu einem Pfortaderhochdruck mit Umgehungskreisläufen geführt. Sie sind als prall gefüllte Venen im Bauchraum erkennbar: im Netz unterhalb der zirrhotischen Leber und in der Bauchdecke. Im unteren Bild die wiedereröffnete Nabelvene.
Die Methode der rein diagnostischen Laparoskopie ist durch erhebliche Verbesserungen bildgebender Verfahren in den Hintergrund getreten. Die Festigkeit des Lebergewebes wird heute durch Fibroscan o. ä. untersucht.
Allerdings wird die Minilaparoskopie weiterhin als wichtige Methode mit hoher diagnostischer Aussagekraft bei bekannten und unbekannten entzündlichen und bösartigen Lebererkrankungen gewertet. 2 So kann sie zur Diagnostik einer peritonealen Endometriose oder einer Bauchfelltuberkulose herangezogen werden. 3 Sie ist heute aus den Händen der Gastroenterologen weitgehend in die der Chirurgen übergegangen.
→ Bauchspiegelung (Laparoskopie)
Spiegelung der Speiseröhre

Krampfadern in der Speiseröhre (Ösophagusvarizen) sind ein relativ häufiger Befund bei einer Leberzirrhose. Sie stellen einen Umwegskreislauf um die verhärtete Leber dar. Auf dem Bild sind Blutungszeichen zu sehen. Hier muss von einem deutlich erhöhten Risiko dafür ausgegangen werden, dass eine Krampfader platzt und es zu einer großen, lebensbedrohlichen Blutung kommt. Wenn endoskopisch eine hohe Blutungsbereitschaft erkennbar wird, ist eine Vorbeugung (Prophylaxe) durch eine Verödung, eine Gummiringligatur oder einen TIPSS (Stent zwischen Pfortader und Lebervene) ins Auge zu fassen.
Leberhistologie

In der Histologie (feingewebliche Untersuchung unter dem Mikroskop) sind bei einer voll ausgeprägten Leberzirrhose dicke Narbenzüge erkennbar, die sich in den Septen um die Leberläppchen herum bilden und das Lebergewebe abdrücken. Diese Narben stellen das entscheidende Hindernis für das Pfortaderblut dar, das zum Pfortdaderhochdruck (portale Hypertension) führt.
→ Auf facebook informieren wir Sie über Neues und Interessantes.
→ Verwalten Sie Ihre Laborwerte mit der Labor-App Blutwerte PRO – mit Lexikonfunktion.
Verweise
- Medizin in Bildern
- Diagnostik der Leberzirrhose
- Leberzirrhose – einfach erklärt
- Leberzirrhose-Kompendium
Weiteres
- Cancer Treat Rev. 2019 Jan;72:28-36. DOI: 10.1016/j.ctrv.2018.11.002[↩]
- Digestion. 2014;89(2):156-64. doi: 10.1159/000354829.[↩]
- Surg Endosc. 2023 Mar;37(3):1830-1837. doi: 10.1007/s00464-022-09703-y[↩]


