Die Sonographie der Milz ist eine wertvolle diagnostische Methode zur Klärung von Erkrankungen der Milz, der Leber, des Knochenmarks und des lymphatischen Systems. Sie klärt mit nichtinvasiver Methodik Größe und Form des Organs sowie seine Blutversorgung und Einbindung in den Pfortaderkreislauf.
Normale Größe
Längsausdehnung 11 cm, Tiefendurchmesser bis 5 cm.
Vergrößerung
Die Milz ist vergrößert
- bei einem Pfortaderhochdruck (portale Hypertension), und auch
- bei systemischen und lymphatischen Erkrankungen.
Eine Erweiterung der Milzvene bei einer Splenomegalie kann zwei Gründe haben:
- ein Blutstau vor der Leber, z. B. bei einer Leberzirrhose, ausgeprägten Rechtsherzinsuffizienz oder Pfortaderthrombose,
- eine vermehrte Milzdurchblutung (Hyperperfusion), z. B. bei einem entzündlichen oder tumorösen Prozess.
Befunde
Normale Milz
Splenomegalie
![]() Erhebliche Vergrößerung der Milz. Der untere Milzpol überragt die linke Niere deutlich. Zusammen mit einer unauffälligen Leber und einem auffälligen Blutbild ist die Indikation zu einer weiteren hämatologischen Abklärung gegeben: beispielsweise Lymphomkrankheit, Osteomyelofibrose? |
Milzinfarkt
Milzabszess
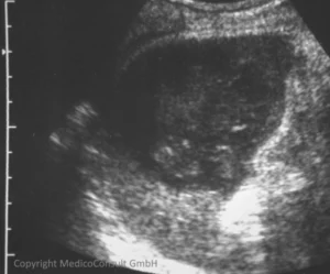
![]() Ein rundlicher, strukturarmer Bezirk mit einzelnen stärkeren Binenreflexen in der Milz kann auf einen Abszess mit Detritus hinweisen. In diesem Fall haben sich in der linken Flanke allmählich zunehmende Schmerzen entwickelt, die später atemabhängig wurden. Die Atemabhängigkeit deutet auf eine fibrinöse Ausschwitzung auf der Milzoberfläche hin (Perisplenitis). → Abszess |
→ Auf facebook informieren wir Sie über Neues und Interessantes!
→ Verwalten Sie Ihre Laborwerte mit der Labor-App Blutwerte PRO – mit Lexikonfunktion.
Verweise
Weiteres





